¿Qué es el cáncer de pulmón?
El cáncer de pulmón es el tumor maligno del pulmón y los bronquios, existen distintas variedades dentro del cáncer de pulmón de acuerdo a las células que lo componen.
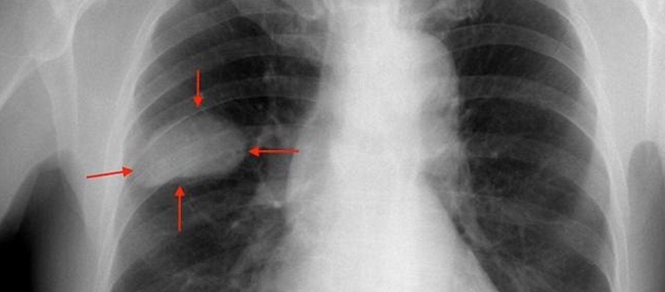
¿Cómo se diagnostica el cáncer de pulmón?
Nuestro equipo trabaja de forma conjunta con los servicios de Oncología, Diagnóstico por Imágenes, Radioterapia y Patología, logrando brindar un abordaje multidisciplinario que nos permite ofrecer el mejor diagnóstico y tratamiento disponible para el cáncer de pulmón en todos sus estadios. Al enfrentar un cáncer de pulmón lo más importante es realizar un diagnóstico de certeza y suficiente para poder decidir cómo será tratado, para lo cual hay que procurar tomar biopsias de buena calidad o resecar completamente el tumor.
¿Puede curarse?
El tratamiento del cáncer de pulmón ha cambiado radicalmente en los últimos años debido a avances tecnológicos, médicos y terapéuticos, tanto en el área de la cirugía, como en la oncología. Estos cambios han logrado que muchos pacientes en estadios precoces puedan curarse completamente, y en los casos avanzados logren un aumento en la calidad y la expectativa de vida realmente significativo.
También es fundamental decidir si existe la posibilidad de extraer toda la enfermedad con fines curativos, para lo cual la estadificación del tumor y la valoración correcta del paciente y los estudios es indispensable.
¿Cómo es el tratamiento?
Actualmente más del 80% de las cirugías que realizamos por cáncer de pulmón son videoasistidas, practicando pequeñas incisiones y orificios en el tórax, a través de los cuales, con la ayuda de equipamientos especiales de primer nivel, podemos extraer los tumores malignos del pulmón. Este tipo de procedimientos permite curar a muchos pacientes, con la ventaja de que no es necesario realizar grandes incisiones que antiguamente generaban mucho dolor y traían complicaciones evitables.
¿Qué procedimientos realiza nuestro equipo?
Broncoscopías: Son procedimientos endoscópicos que realizamos para diagnosticar o tratar patologías de las vías aéreas, traquea y bronquios, y de los pulmones. Ver informe de Broncoscopías.
Videomediastinoscopías y mediastinostomías: Son procedimientos minimamente invasivos que nos permiten llegar al diagnostico de cáncer de pulmón, ver la variedad histológica del tumor y realizar una mejor estadificación de la enfermedad para así luego planear en el comité de tumores el mejor tratamiento para cada paciente.
Cirugía videoasistida: Es un procedimiento quirúrgico con anestesia general que nos permite localizar con certeza la lesión tumoral viendo todo por medio de una cámara de video que ingresa al tórax. Así podemos asegurar la invación o no de tejidos vecinos, tomar muestras para biopsias si aun no tenia diagnostico y lo más importante poder resecar y extraer la lesión tumoral del cuerpo. Se realiza por una cirugía mínimamente invasiva que tiene una rápida recuperación.
